
Beyninin 90%-i olmadan yaşayan insan
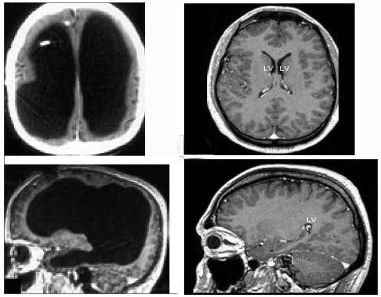
Fransada yaşayan bir adam, yaşadığı xəstəlik səbəbindən zaman ilə beyninin 90%-ini itirmiş olmasına baxmayaraq hər hansı bir əqli qüsuru olmadan yaşamağa davam edir.
Bundan sonra kimisə alçaltmaq üçün "beyinsiz" demək yerinə başqa bir söz düşünmənin vaxtı gəldi. Fransada yaşayan bir adam, yaşadığı xəstəlik səbəbindən beyninin 90%-lik qismini itirsə belə 75 IQ səviyyəsi ilə və əqli qüsuru olmadan yaşamağa davam edir.
Ölkəsində dövlət məmuru olaraq işləməyə davam edən adamın yaşadığı xəstəlik isə xalq arasında "beyində su toplanması" olaraq bilinən Hidrosefali-dir. Beynin tənəffüs mərkəzi kimi həyati bölmələrini əhatə edən qisminin təzyiqin təsiri ilə onurğa beyninə doğru sürüşməsi ilə yaranan bu problem, ani müdaxilə edilməsə təəsüff ki, ölümlə nəticələnir. Fransada yaşayan adam isə uşaq ikən yaşadığı bu problemə zamanında müdaxilə edildiyi üçün həyatda qalmağı bacarıb.
Paylaş
Bənzər xəbərlər